O que é uma Pielonefrite Aguda Complicada?
A Pielonefrite Complicada (PC) é uma infecção renal sintomática grave, frequentemente associada às alterações funcionais e/ou estruturais do trato geniturinário, responsáveis pelo aumento do risco de infecção ou falha do tratamento de uma pielonefrite inicial.
Caracteriza-se por um amplo espectro de apresentações clínicas e de complexidade variável, podendo ser causada por diversos microrganismos. Apesar da Escherichia coli apresentar-se como principal agente, outros germes são isolados, tais como: Klebsiella, Enterobacter, Citrobacter, Serratia, Proteus mirabilis, Morganella morganii, Providencia stuartii, Pseudomonas aeruginosa, maltophilia e espécies de Acinetobacter. Dentre os gram-positivos destacam-se os estreptococos do grupo B, Enterococcus e Staphylococcus coagulase-negativo.
Espécies de Cândida são comuns em pacientes diabéticos, imunossuprimidos, usuários crônicos de cateteres ou recebendo antibioticoterapia de amplo espectro.
O manejo da PC deve ser individualizado respeitando-se as particularidades de cada caso e suas possíveis interferências na efetividade do tratamento antimicrobiano.
As infecções urinárias complicadas apresentam maior risco de evoluírem para complicações graves e septicemia, sendo responsáveis por cerca de 10% dos pacientes com choque séptico internados em unidades de cuidados intensivos.
Quais são os fatores de risco para uma Pielonefrite complicar?
Dentre os vários fatores predisponentes ao desenvolvimento da Pielonefrite Complicada, destacam-se:
1 – Patologias crônicas: diabetes, insuficiência renal, transplante renal e imunodeficiências.
2 – Patologias Urológicas: litíase, tumores do trato urinário, hiperplasia prostática benigna, estenose de ureter ou uretra, estenose de junção uretero-piélica ou uretero-vesical, refluxo vésico-ureteral, anomalias congênitas, divertículos vesicais, cistos renais, bexiga neurogênica, rins policísticos e nefrocalcinose.
3 – Pós-operatórios: uso crônico de cateteres ou sondas, instrumentação urinária frequente, ampliação vesical, derivações urinárias.
Diagnóstico
O paciente com uma Pielonefrite Complicada é um paciente grave e de tratamento hospitalar. Exame de urina, urocultura e hemocultura são indispensáveis.
Exames laboratoriais demonstraram normalmente: hemograma com leucocitose e desvio, piora da função renal e acidose metabólica, dentro outras alterações.
Exames de imagem são fundamentais para avaliação da complicação e, consequentemente, manejo terapêutico.
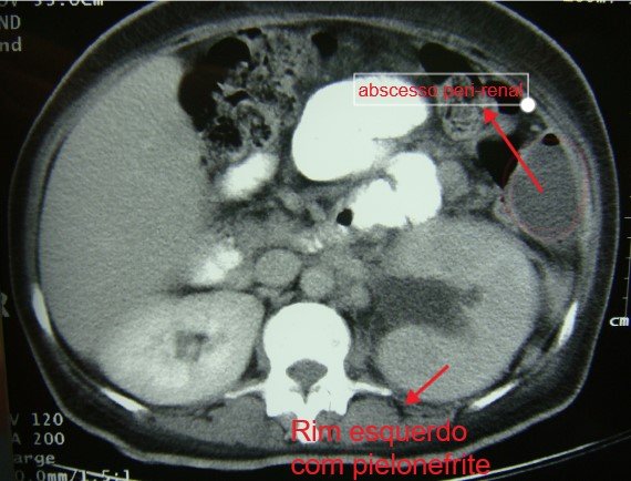
Abscesso Renal e Peri-Renal
A TC constitui o método preferencial para diagnosticar abscesso renal, caracterizando a extensão da infecção e auxiliando na identificação de sua origem. Embora o US também seja útil, pode não distinguir uma massa inflamatória de um abscesso renal verdadeiro.
O manejo inclui o diagnóstico precoce, instituição da terapia antimicrobiana eficaz e drenagem, tanto para fins terapêuticos quanto diagnóstico. A cultura do fluido identifica o agente etiológico e orienta a escolha do antibiótico. Abscessos pequenos (1 a 3 cm de diâmetro) frequentemente respondem à terapia antimicrobiana sem drenagem.
Entretanto, para abscessos maiores que três centímetros a drenagem é geralmente necessária.
Se a drenagem for ineficaz ou mal-sucedida, deve-se converter para a via aberta ou considerar a nefrectomia nos casos mais graves.
A resolução do abscesso deve ser monitorizada por estudos de imagem e a terapia antimicrobiana continuada até que o abscesso seja completamente resolvido ou reduzido a uma cicatriz residual estável.

Pielonefrite Xantugranulomatosa
Trata-se de processo supurativo muito grave, pouco frequente, ocorrendo em 1% a 8% das Pielonefrites Complicadas graves, caracterizado pela destruição e substituição do parênquima renal por tecido granulomatoso histiocitário contendo células espumosas.
Não raramente, este processo estende-se para o espaço perineal, músculo psoas, diafragma e baço. Paciente extremamente grave normalmente internado em Unidade de Terapia Intensiva em uso de antibióticos e medicações para manutenção suporte à vida.
A TC é a modalidade diagnóstica de escolha, identificando anormalidades em 74 % a 90% dos casos. Os achados característicos incluem: rins aumentados; substituição do parênquima por múltiplas cavidades cheias de líquido espesso e frequentemente associado à urolitíase. A ultrassonografia revela anormalidades inespecíficas, incluindo o alargamento renal e múltiplas massas hipoecóicas arredondadas.
O diagnóstico diferencial inclui neoplasias e tuberculose renal.
O tratamento é a NEFRECTOMIA + DRENAGEM caso falha do tratamento com antibioticoterapia de ampla ação.
REFERÊNCIAS BIBLIOGRÁFICAS: